生成AI(人工知能)の登場は、医療記録の偽造に必要なスキルを「無効化」した。すなわち、いまや専門的なスキルがなくとも医療記録を偽造することができるようになった。だが、偽造された医療記録の真偽を証明するために必要なスキルはいまだ無効化されておらず、不正を自動的に見抜く仕組みは確立されていない。
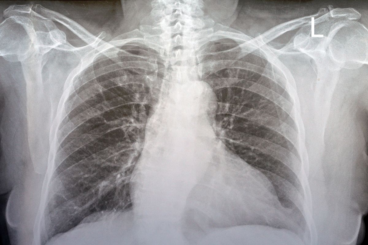
この問題は、北米放射線学会(RSNA)の査読付き学術誌『Radiology(ラジオロジー)』に掲載された最新の研究結果で明らかになった。研究では、6カ国・12施設の放射線科医17人に胸部X線(レントゲン)画像を見せて評価してもらった。用意した画像154枚のうち、半数は本物のレントゲン写真で、残りはAI生成されたものだった。
AI画像が混在していることを知らせない状態では、見せられた画像を「疑わしい」と判断した医師は41%にとどまった。一方、偽造された画像を探すよう指示されると、読影の精度は75%に上昇し、最も精度の高い読影をした医師の正答率は92%を記録した。一方、最も精度の低かった読影医の正答率は58%だった。放射線科医としての経験の長さは、測定可能な差をもたらさなかった。

この研究では胸部X線画像を使用したが、研究結果から示唆される問題の影響は医療記録全般に及ぶ。
医療請求に関わる全ファイルが偽造可能に
胸部X線画像は、ファイル形式の1つにすぎない。医療機関が保険会社に医療費を請求する際の手続きには、放射線画像や診療報告書、退院時サマリー(退院時要約)、請求明細書、ポータルを通じてアップロードする患部写真など、さまざまなファイル形式が絡む。そのどれもがAIモデルによって生成・改変される可能性があり、目視による審査をすり抜けるほど精巧な仕上がりの偽物かもしれないのだ。
生成AIが登場する前は、医療請求詐欺を大々的に行おうとすれば、医療コーディングの技術者や偽造テクニックを有する人物、医療機関のレターヘッドを使用できる立場の人間の関与が不可欠で、これが障壁となって詐欺市場の規模を制限していた。
この障壁を、生成AIは取り除いた。一般的なノートパソコンと誰でも入手できるAIツールさえあれば、目視審査では本物と見分けがつかない医療ファイルの生成が可能になった。
生成AIによって、放射線画像から請求書類に至るまで、医療請求プロセスのあらゆる段階で不正が起こり得るようになったのだ。このコストは、審査システム全体に静かに波及する。



